THE KARIUS SPECTRUM TEST CAN HELP YOU COMPLETE THE FEBRILE NEUTROPENIA PUZZLE
Diagnostic Application: Febrile Neutropenia
In adult patients who underwent hematopoietic stem cell transplant (HCT), infection has been reported as the second leading cause of mortality1
Featured Case
Study Site: Virginia Commonwealth University Medical Center2
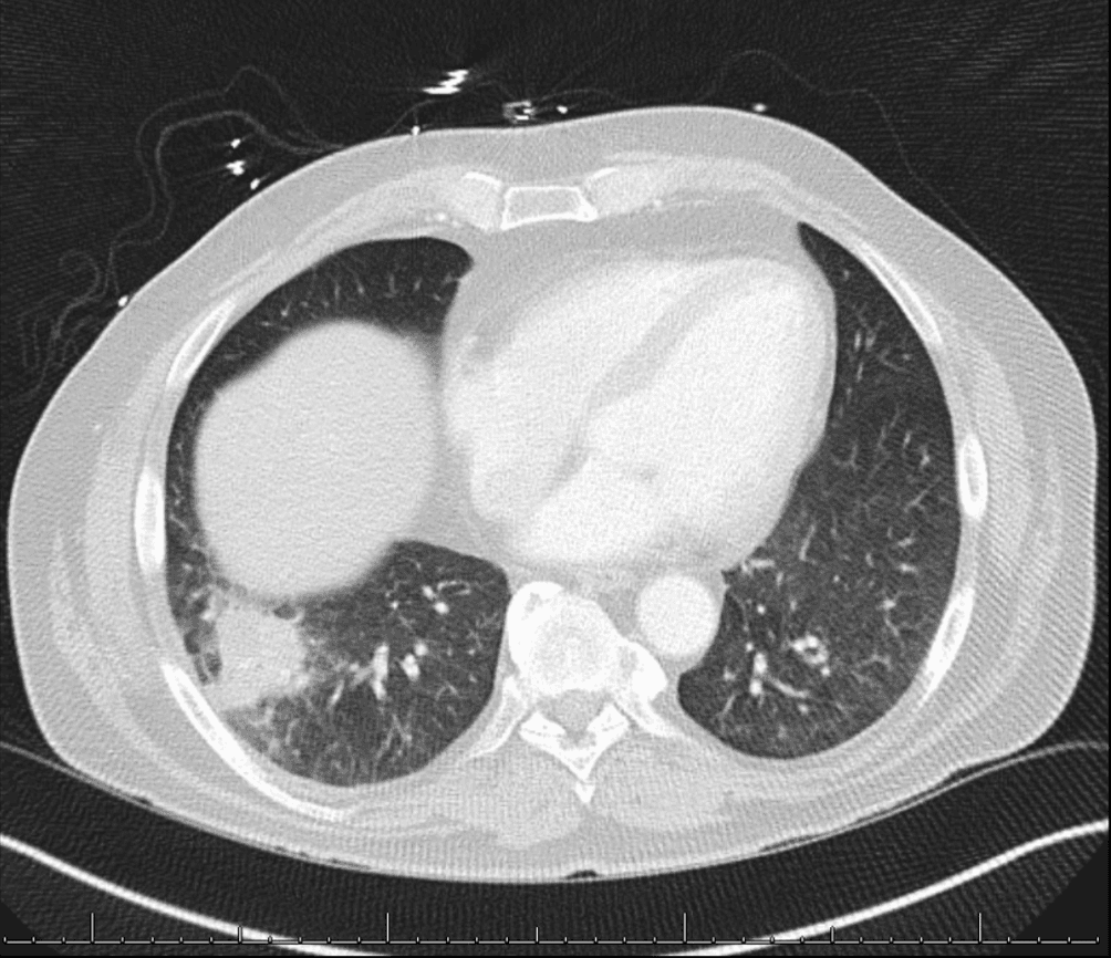
60 year old male with acute myeloid leukemia with a history of typhlitis and Clostridioides difficile infection after 7+3 induction therapy, presented with neutropenic fever after 5+2 re-induction.
Tests Performed: Fungal biomarkers (negative), blood cultures (negative), sputum and urine mycobacterial cultures (negative), and QuantiFERON-TB Gold test (positive). CT scans of sinuses, chest, abdomen, and pelvis showed improved typhlitis and calcified hilar lymph nodes with scattered 2-3 mm nodules on chest CT.

Karuis Test Result: Mycobacterium tuberculosis complex
Outcome: Diagnosis of extrapulmonary miliary tuberculosis led to patient being placed on and completing appropriate multi-drug therapy.
Clinical Evidence
Study Site: Stanford University Hospital
In a prospective, observational, study of 55 adults with acute leukemia and neutropenia, the Karius Test (KT) would have provided an earlier pathogen result in 87% of patients when compared to standard testing.*,3

*Please see study for comparable tests
_____________________________________________
Study Site: AdventHealth Cancer Institute
In a retrospective study of 31 adult patients (32 KTs performed) with hematologic malignancy or stem cell transplantation, the Karius Test led to a change in antimicrobial management in nearly 60% (19/32) of patients.4

Considerations for Use



*KT is an LDT. Clinicians should independently evaluate its use and interpret test results. This content is provided for informational purposes only and is not intended or implied to be an exhaustive list of consideration or substitute for existing medical expertise or guideline recommendations.
**High-risk: Anticipated prolonged (>7 days duration) and profound neutropenia (ANC <100 cells/mm3 following cytotoxic chemotherapy) and/or significant medical comorbid conditions, including hypotension, pneumonia, new-onset abdominal pain, or neurologic changes.7
Learn More About the Karius Test
Additional Information
Clinical Study Review: The Karius Test in the Diagnosis and Management of Febrile Neutropenia. Presented by Ann McIntyre, DO and Esther Benamu, MD
References:
1. Schuster MG et al. Open Forum Infect Dis. 2017;4(2):ofx050.
2. Morales M., Case presentation at 2022 Tandem Meetings of ASTCT & CIBMTR, April 2022.
3. Benamu E, et al. Clin Infect Dis. 2022 May 3;74(9):1659-1668.
4. Yu et al. Transplant Cell Ther. 2021 Jun;27(6):500.e1-500.e6. Epub 2021 Feb 26.
5. Patterson TF, et al. Clin Infect Dis. 2016 Aug 15;63(4):e1-e60.
6. NCCN. Prevention and treatment of cancer-related infections. Version 2.2022.
7. Freifeld AG, et al. Clin Infect Dis. 2011 Feb 15;52(4):e56-93.
8. Armstrong AE, et al. Pediatr Blood Cancer. 2019 Jul;66(7):e27734.
9. Hill JA, et al. Clin Infect Dis. 2021 Dec 6;73(11):e3876-e3883.
10. Ahmed A, et al. Poster presented at: 2022 ASPHO Conference; May 2022.
11. Goggin KP, et al. JAMA Oncol. 2020 Apr 1;6(4):552-556.
12. Azar MM, et al. Am J Transplant. 2022 Dec;22(12):3150-3169.